こんにちは。頭痛の症例報告です。
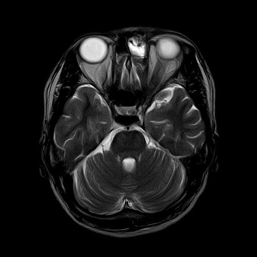
症例は30代の男性。数か月前から続く左目の違和感と頭痛で眼科を受診。眼科精査で異常なく、頭の精査目的に当院紹介となった方です。頭痛は左眉の上に限局しており、下を向くと痛みが増強されました。ここ数か月以内に、風邪に罹患した既往なし。頭部MRI・MRAを撮影し、脳や頭の血管には異常所見は認めませんでしたが、副鼻腔内が白く光って見えており、副鼻腔炎と診断しました。


とくに両側の上顎洞(頬の部分)と左前頭洞(眉の部分)が白く光っており、浸出液や膿がたまっている状態です。
この方には、抗生剤、去痰剤、漢方薬(荊芥連翹湯という漢方薬がよく効きます)を投与しました。
副鼻腔炎による頭痛の特徴としては、読書やパソコン操作などで下を向いたときに頭痛や頭重感を強く感じる、頭がぼーっとした感じが続く、頬や目の奥などにも痛みがある、鼻水鼻づまりの症状がある(自覚がないことも多いです)、などが挙げられます。
コロナウイルス感染症やインフルエンザもまだまだ流行っていますので、鼻炎症状のあとに頭痛(とくに頭重感や顔面痛)が続けば、副鼻腔炎にもご注意ください。
