先日認知症で通院している患者さんの夫から、「先生、この前新聞に新しい認知症の薬が出てましたけど、うちのに使えませんかね」、との質問を頂いた。おそらくレカネマブのことだろうと思い、「アメリカで正式承認されており、いずれ日本でも認可される可能性が高いですが、認知症の初期の人が対象ですし、あまり効果もはっきりしていなので、現時点では難しいかもしれませんね」と返事をしました。
今回はそんなレカネマブについて、少しまとめてみました。
費用対効果(アメリカでは年間350万円)や安全性の面からも、まだまだ検討の余地が残っている薬剤という印象です。
今回はそんなレカネマブについて、少しまとめてみました。
レカネマブとは、日本のエーザイ株式会社とアメリカのバイオジェンが共同開発したアルツハイマー病の治療薬です。アルツハイマー病では、患者の脳内に存在するアミロイドβというタンパク質が蓄積されてかたまりになると(タウたんぱく)、神経細胞が破壊され認知機能が低下すると考えられています。レカネマブは、かたまりになる前のアミロイドβにくっついて除去することで、認知機能の低下を抑制します。
レカネマブの効果は
レカネマブ投与は、18ヵ月間の研究でCDR-SBスコア(範囲0〜18点で高いほど障害が強い)の悪化を偽薬群に比べて0.45点(27.1%)抑制し、統計的に有意(P<0.001)でした。発症早期の患者においては、18ヵ月でわずかながら改善が見られたようです。
(「27%進行を抑制する」という表現には誤解の余地があり、実際の点数差が重要と思われます。18ヵ月後の点数比較はレカネマブ群4.41点、偽薬群4.86点、差0.45点の違いしかなく、患者さんや家族が効果を実感することがない程度と言われています。)
レカネマブの副作用は
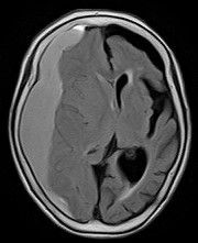
臨床試験において、被験者約1800人の内、17%に脳の出血、12%に脳の腫れがみられたということです。これらのほとんどのケースでは症状が無かったようですが、一部の被験者は副作用を理由に投与を中止する必要があったと報告されています。そのほか、記憶に関係する海馬萎縮は予防しますが原因不明の全脳萎縮をきたします。
レカネマブを使用できる人は
MCIもしくは軽度アルツハイマー型認知症で、アミロイドPET検査や脳脊髄液検査によりアミロイドβの蓄積が確認された人が対象。また、2週間に1回点滴投与をする必要があり、3か月ごとにMRIでの副作用のモニタリングが必要です。
費用対効果(アメリカでは年間350万円)や安全性の面からも、まだまだ検討の余地が残っている薬剤という印象です。



